
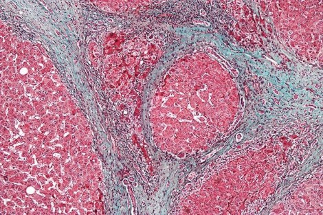
High magnification micrograph of a liver with cirrhosis, a disease in which healthy liver tissue is replaced with scar tissue. (Nephron/Wikimedia Commons)
A bog post titled Nonalcoholic Fatty Liver Disease: America’s Greatest Health Risk of 2015? caught my eye since my blog is all about longevity and aging. I don’t know if it’s the greatest health risk of 2015, but I learned about a disease I’d never known of before.
If there is a silent sufferer among the organs in the human body, it’s our liver. They are tough. They have to be, but they are also vulnerable.
Livers turn unused calories into fat and store them. If the stored fat is never used, it can lead to non-alcoholic fatty liver disease, but only after years of buildup.
They also remove alcohol from our systems by breaking it down into acetaldehyde which can cause long-term damage.
Some pain relievers, like Tylenol, or even vitamin supplements, can create a buildup of toxins in the liver which reduce it’s function over time.
Finally, some people have the PNPLA3 gene that causes their livers to create and store higher than normal amounts of fat.
For those who drink excess alcohol, take pain medications for joint pain brought on by obesity, and have the PNPLA3 gene, it could be the perfect storm, but hepatologists tell us we don’t need all three factors to have liver damage and symptoms may not be obvious for five to ten years.
Dr. Hyder Z. Jamal believes that since one third of Americans are obese, within a decade, fatty liver disease will become the number one cause of liver transplants. If something does not change there will be high mortality from this almost unknown disease since liver transplants are rare. Today there are 16,000 people waiting for transplants, but only about 6,000 are performed each year.
The disease can be prevented with changes in diet and exercise, but if lifestyle changes don’t appeal to you, there may be a day where organs that match your tissues can be created in a lab for a ready-made transplant. But why take the chance? Heart disease and strokes, the top killers in the US, are also associated with obesity and lack of exercise. Even if you could replace a liver destroyed by obesity, would the rest of the body, such as the heart and brain be replaceable too?
In the end, I suppose some people weigh the risks, decide it does not matter if they die of liver or heart failure and live just the way they want to, but after reading Dr Hyders article, I have a new appreciation for the human liver and the dangers of obesity.
Source:
Dr. Hyder Z. Jamal, MD
Nonalcoholic Fatty Liver Disease: America’s Greatest Health Risk of 2015?